Motivated to be responsible, to care for myself and make my own health a priority after nearly three decades of caring for others, I went to the doctor. Ironic. What is the proverb? The cobbler’s children have no shoes. Too often, doctors do not attend to themselves the way they care for their patients.
It starts in med school (maybe before even) – sacrifice sleep to study. In residency (when I trained) there were no limits on work, none of this 60 hours/week rule that now exists. Meals were not nutritious or balanced. And the grind went on for years. Get married, finish residency, move cities, buy a house, have a child, have another child, become an owner in a private practice, run a business, be an employer AND a physician. And a wife. And a mother. Time crunch, STRESS, burnout. Then get divorced.
While time is infinite, the amount of time each of us is allotted on this earth is a finite commodity. You cannot earn more time. It can’t be banked. There is no compounding interest.
I made a deliberate decision to be healthier. More content. Heal thyself. But I’d aged. And, if honest, past middle age (and kind of missed that benchmark because I was very busy with all those other things). I developed persistent pain in a hip joint that hinders climbing stairs, stepping into a pair of pants, getting into you car. Xray says, “advance, severe, end-organ failure of the right hip joint with necrosis and sclerosis and total loss of joint space.”
Hip replacement. Seven years ago. And I had not realized the gargantuan level of pain I walked with (in addition to the burnout and sadness and grief). The accumulation was insidious and incremental. And when it was gone, there was silence. And a glaring awareness of how profoundly I had neglected my own care, heart, dreams. I set about rectifying things.
I fell in love again. I raised two sons who are both genuinely remarkable men. I got remarried. I built my dream home and I have made a lovely, truly lovely home. I made time to quilt and garden and write. And I never set any of the other stuff down.
The STRESS didn’t abate and the climax happened in the pandemic. And a decision was finally made to sell the medical business and leave private practice. Stop being the owner/operator. Shed the responsibility of being the boss, the decider, the one on the hook for everything.
And I found a new home.
I relocated to the University of Florida College of Medicine. I am a faculty member in the Community Health and Family Medicine department and with the unexpected blessing that many, many of my long time patients migrated with me. So, I have been able to keep doing the thing I LOVE, my vocation and calling. But I have been allowed to divest myself of those things I did because I was responsible for them – but that I never enjoyed or desired – being an employer and business owner.
With the transition came other benefits: I get to be the employee. I have benefits. I get time off and leave and infrastructure. I can breathe.
So, perfect time to establish care with a doctor, my very own primary care physician – a luxury I have not allowed myself (or even considered). I was just winging my health up until this year. And that included the hip replacement. I went back to work on a walker after only 10 days off. I had to, there was a business to run, payroll to make.
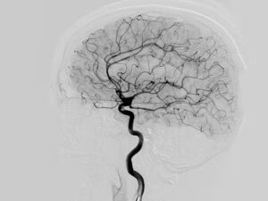
The new doctor listens to my medical history and family history and says, we should bet an MRA of your brain since you have two family members with intracranial aneurysms and subarachnoid hemorrhages. I had gotten an MRI/MRA 24 years ago – on the fly, off-book- while my sister lay in the ICU after her craniotomy. Normal and negative they said. Great!
Except they missed it. It was there. All this time. Through all the stress and pressure and fear and worry. There was an aneurysm. It was there when I divorced. It was there when I fell in love. It was there when I remarried. It’s just been sitting there, slowly growing. The new MRA clearly shows it. 6.4mm just inside the dural ring off the left internal carotid. In the intervening 20+ years it nearly doubled in size and has a daughter cell (the aneurysm has an aneurysm). And now I have to “do something”.
And this is different than the hip replacement. I was very serious when I told the orthopedic surgeon that I wanted my hip. “Put it in a jar,” I said. He was confused. “Why?” I said simply, “Because its mine.” It is a part of me. I wanted it. I was incredulous that no one understood my fundamental desire to retain custody of everything that is MINE. But this aneurysm isn’t about what is mine.
This is about me. Me. My brain is where I reside. My knowledge. My self-awareness. My humor, curiosity, memories, compassion, faith, capacity for joy or fury. How I dance. Write. Speak. Sing. All that makes me who I am dwells in the synaptic spaces between my neurons and coalesces into a neural cloud that defines me as a being. And I risk losing ME. Not a part of me. You could cut off my leg, my breast, transplant my heart, remove my uterus, destroy my bone marrow with radiation or chemotherapy and I would still be ME. But explode an aneurysm inside my brain and I could vanish (if I survive the initial devastation of a subarachnoid hemorrhage – which is unlikely because my aneurysm is seated in the deep center and isn’t accessible surgically).
Facing mortality has made me philosophical and somewhat militant about time and my life. I am thankful that the aneurysm was missed 23 years ago. There are new endovascular procedures and devices now that didn’t exist. I haven’t had to live with knowing I have a pinless grenade inside my head for 20+ years. Adding the fear and worry to all that other shit I carried.
And I want to focus on the people I love, the things I love and use my talents and gifts to do good. And I want to be ME. All of me. Without censor or limits or doubt. To be all of me, and occupy all the space and sit comfortably inside myself.


